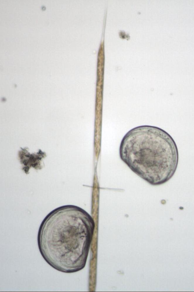
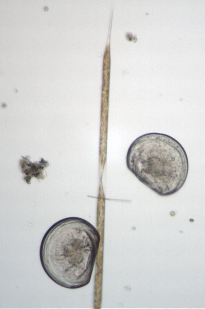
larve de moule (Zooplancton temporaire) et Rhizosolenia (diatomée)
Les larves D de moules sont apparues dans nos prélèvements les quinze premiers jours de janvier.
Elles sont ici accompagnées de diatomées du genre Rhizosolenia, (sur la photo, deux cellules formant le début d'une chaîne).
Image dans sa taille originale : 38 ko |
Actions sur le document



